Security
![]()
X-ray detectors play a crucial role in security inspection in multiple aspects:
Baggage Screening at airports and train stations to identify potentially dangerous or prohibited items;
Cargo & Vehicle Inspection to ensure that goods being transported do not contain illegal or hazardous substances;
Customs Inspection to identify undeclared items or items that violate trade regulation.
Industrial
![]()
X-ray detectors have numerous applications in the industrial sector:
Quality Control and Inspection: X-ray detectors are used to inspect the integrity and quality of products;
Electronic Manufacturing: X-ray detectors are employed to inspect the internal structure of electronic devices such as circuit boards;
Material Analysis: X-ray detectors help determine the composition and microstructure of alloys;
Nondestructive Testing: X-ray detectors can inspect pipelines, turbine blades, and other critical components are inspected for hidden defects without causing damage to the equipment.
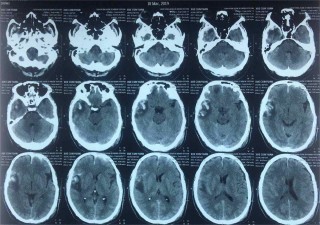
Medical
![]()
X-ray detectors have several important applications in the medical field:
Radiography: X-ray detectors capture the radiation that passes through the body to produce images that help doctors diagnose conditions like fractures, pneumonia, or abnormalities in the lungs and other organs;
Computed Tomography (CT) scan: multiple X-ray detectors rotate around the patient, collect data from different angles and create detailed cross-sectional images of the body;
Dental Imaging: X-ray detectors are used for taking intraoral X-rays to detect cavities, assess the health of the jawbone, and plan dental implants or orthodontic treatments.
Scientific
![]()
X-ray detectors have wide-ranging applications in scientific research:
Crystallography: X-ray detectors are crucial in determining the crystal structure of materials by scientists to study the atomic arrangement in substances, which helps understand the properties and behavior of materials;
Materials Science: Researchers use X-ray detectors to analyze the microstructure and phase composition of materials;
Biological Research: X-ray detectors are employed to determine the three-dimensional structure of proteins and other biomolecules. This provides insights into their functions and interactions, aiding in drug design and understanding biological processes.
Astrophysics: X-ray detectors on satellites and telescopes are used to study X-ray emissions from celestial objects such as black holes, neutron stars, and active galactic nuclei.






















